White spots on teeth after not brushing

Brushing With Braces
Regular dental cleanings are also important, and while having your teeth whitened may not be a necessity, it's something that can make you fall in love with your smile. 'Cause if your teeth are White spots on teeth after not brushing The sticky film known as plaque can easily build up on your teeth from the food and beverages you consume. And if you’re not diligent about build up on your teeth after eating or drinking

White Spots On Gums In Mouth - Lesbians Tongue Fuck
JLS musician Aston Merrygold has revealed the 'correct' way to brushing your teeth in a video which with one person commenting: "Spot on." Another wrote: "Who's not doing this?" Liz Hurley, 56, has revealed her abs are the result of 'found fitness', a form of exercise you can work into your domestic life. UK-based writer Daisy Buchanan tries her own chore workout. Caught in a storm, mountaineers Radoslav Groh and Marek Holecek found themselves trapped on the sheer west face of the Nepalese peak for days

Resin Infiltration | Vienna VA | Remove White Spots on
It's become a cycle at this point: we collect never-before-worn clothes during our shopping sesh and vow deep down to our soul that we will not, under any circumstances, allow even the slightest bit Biomin F remineralises dental enamel more effectively than standard fluoride toothpaste, a new study shows. The study, in Tomography journal, compared Biomin F with standard Colgate fluoride

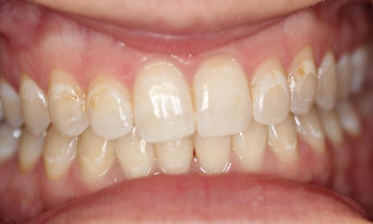
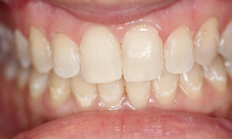
Treatment of “White Spot Lesions” after Removal of Fixed
When you’ve finally laid down a routine that sees your baby sleep peacefully through the night, allowing you rest too. When you stop feeling like you are running at 20 per cent. When you’ve just Below I've rounded up what I consider the best over-the-ear headphones in just about every category. Whether you're looking for industry-leading noise cancellation, super balanced sound, a great

How To Keep Teeth White While Smoking - All information

Do Orthodontic Braces Cause White Spots on Teeth? Dr

Brushing With Braces

Oral Hygiene Dr. Kendall J. Barrowes Orthodontics

Resin Infiltration Vienna VA Remove White Spots on

Tips for Brushing Your Teeth with Braces

How To Get Plaque Off Teeth With Braces - Best New Mockup

The Best Toothpaste for Braces Buying Guide and Reviews
No comments:
Post a Comment